Ihr Lächeln in besten Händen
Moderne Zahnmedizin für Ihr Wohlbefinden!
Prophylaxe
Prophylaxe in Heide –
Professionelle Zahnreinigung
Hätten Sie es gewusst?
2 Mal im Jahr professionelle Zahnreinigung (PZR) reduziert nachweislich den Verlust von Zähnen (mit PZR 0,5 Zähne Verlust und ohne PZR 3,5 Zähne Verlust auf 10 Jahre gesehen, bundesweiter Durchschnitt)
Prophylaxe – Professionelle Zahnreinigung
Ein PZR-Termin dauert in der Regel ca. 45– 60 Minuten und es werden folgende Maßnahmen durchgeführt:
- Entfernung von harten (Zahnstein, Konkremente) und weichen (Plaque) Belägen aller Art sowie Verfärbungen von Tee, Kaffee, Nikotin usw.
- Reinigung der Zahnzwischenräume
- Härten aller Zahnoberflächen (Fluoridierung)
- Versiegelung und Desensibilisierung
- Politur der Zähne mit feinen Polierpasten
- Aufklärung zur Optimierung der häuslichen Zahnpflege
Außerdem gehören zur Prophylaxe Zahnpflegetipps vom Profi und natürlich Kinder- und Jugendprophylaxe; denn der erste Kontakt mit dem Zahnarzt findet in der Kindheit statt und prägt die Einstellung des kleinen Patienten zur Zahnheilkunde entscheidend.
Professionelle Zahnreinigung – warum?
Heute weiß man, dass eine Parodontitis, an deren Anfang Zahnbeläge und Zahnstein stehen, zu Erkrankungen des gesamten Organismus, z.B. Herz-Kreislauf-Erkrankungen führen können und bestehende Krankheiten verschlimmern. Wir empfehlen Ihnen daher zur Parodontitis-Vorbeugung, aber auch nach einer Parodontitisbehandlung in regelmäßigen Abständen eine professionelle Zahnreinigung durchführen zu lassen.
Mit einem Bürstchen und Polierpaste werden die Zähne poliert, damit sich so schnell kein neuer Zahnbelag festsetzen kann.
Die Zahnzwischenräume können mit sogenannten Finierstreifen bei Bedarf nachgearbeitet werden.
Prophylaxe macht Ästhetik spürbar…
Glatte Zahnoberflächen, sodass man immer wieder mit der Zunge darüber fährt, ein neues Selbstwertgefühl durch Sicherheit beim Reden, Lachen und Essen. Motivation genug, um selbst aktiv gegen Karies und Parodontitis zu werden!
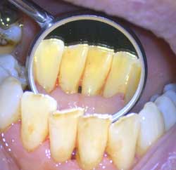
Vorher – Nachher
Zahnbeläge und Zahnstein führen langfristig zur Parodontitis und nachfolgend zum Zahnverlust.
Vorher:
Besonders hartnäckige Verfärbungen entstehen durch Nikotin, Kaffee und Rotwein.
Nachher:
Saubere Zähne bewirken ein gutes Wohlbefinden und wirken sich auf die gesamte Mundgesundheit aus.
